اساس کرون (SS Crown) | روکش استنلس استیل دندان شیری
روکش استنلس استیل دندان شیری (SS Crown) را بشناسید. در کلینیک دندانپزشکی بهبد، بهترین راهکار برای ترمیم دندانهای شیری آسیبدیده با SS Crown، افزایش دوام و حفظ زیبایی لبخند کودک شما.
در دنیای دندانپزشکی کودکان، حفظ و ترمیم دندانهای شیری از اهمیت حیاتی برخوردار است. دندانهای شیری تنها وظیفه جویدن غذا را بر عهده ندارند، بلکه نقش کلیدی در حفظ فضای لازم برای رویش دندانهای دائمی، کمک به تکلم صحیح و حفظ زیبایی و اعتماد به نفس کودک ایفا میکنند.
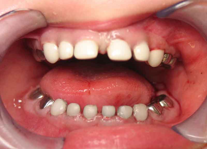
هنگامی که پوسیدگی دندان شیری بسیار گسترده است، به طوری که ساختار دندان به شدت ضعیف شده یا پس از درمانهای پیچیدهتری مانند عصبکشی دندان شیری، روشهای سنتی پرکردن دندان ممکن است دوام کافی را نداشته باشند. در این شرایط، روکش استنلس استیل دندان شیری یا همان اساس کرون (SS Crown)، به عنوان یک راهکار ایدهآل و استاندارد طلایی مطرح میشود. این روکشهای فلزی با دوام بالا، میتوانند به طور کامل دندان آسیبدیده را بپوشانند و آن را تا زمان رویش طبیعی دندان دائمی زیرین، حفظ کنند.
اهمیت و کاربرد روکش استنلس استیل دندان شیری
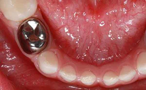
روکش استنلس استیل دندان شیری یک کلاهک پیشساخته فلزی است که شکل آن کاملاً شبیه به دندان طبیعی است. این روکشها از آلیاژ ضد زنگ و زیست سازگار ساخته شدهاند و به طور کامل روی دندان شیری آمادهسازی شده قرار میگیرند تا آن را از هرگونه آسیب یا شکستگی بیشتر محافظت کنند. عمر مفید این روکشها تا زمان افتادن طبیعی دندان شیری است، که این ویژگی آنها را به یکی از اقتصادیترین و مطمئنترین روشهای ترمیم گسترده در دندانپزشکی کودکان تبدیل کرده است.
چرا از روکشهای فلزی استفاده میکنیم؟
- دوام و استحکام بینظیر: دندانهای کودکان تحت فشار زیادی در طول فرآیند جویدن قرار میگیرند. اساس کرون مقاومت بالایی در برابر شکستگی و سایش دارد.
- پوشش کامل: این روکشها دندان را به طور کامل در بر میگیرند و مانع از نشت بزاق و باکتریها به داخل ترمیم اصلی میشوند و از پوسیدگی مجدد جلوگیری میکنند.
- فرآیند سریع و آسان: نصب SS Crown معمولاً در یک جلسه انجام میشود، که برای کنترل اضطراب کودک در محیط دندانپزشکی یک مزیت بزرگ محسوب میشود.
- مناسب برای دندانهای عصبکشی شده: پس از پالپوتومی (عصبکشی دندان شیری)، ساختار دندان ضعیف میشود. روکش استنلس استیل دندان شیری بهترین پشتیبان برای این دندانها است.
موارد کاربرد روکش استنلس استیل دندان شیری
انتخاب استفاده از اساس کرون تصمیمی است که توسط دندانپزشک مجرب و بر اساس ارزیابی دقیق وضعیت دهان و دندان کودک گرفته میشود. استفاده از روکش استنلس استیل دندان شیری معمولاً در شرایط زیر ضرورت مییابد:
- پوسیدگیهای گسترده: زمانی که پوسیدگی به حدی وسیع است که با پرکردنهای معمول (آمالگام یا کامپوزیت) نمیتواند به طور موثر ترمیم و حفظ شود.
- پس از درمان پالپ (عصبکشی): همانطور که اشاره شد، دندانهایی که عصبکشی شدهاند، شکننده میشوند و نیاز به یک پوشش محافظ قوی دارند.
- کودکانی با خطر بالای پوسیدگی: در کودکانی که به دلیل سندرومهای خاص یا بهداشت ضعیف دهان و دندان، احتمال پوسیدگیهای جدید در آنها بالاست.
- دندانهایی با نقص ساختاری: دندانهای شیری که به دلیل اختلالات مادرزادی دچار نقص در تشکیل مینا یا عاج هستند (مانند آملوژنز ایمپرفکتا).
- کودکانی که نیاز به بیهوشی دارند: برای این کودکان که مراجعه مجدد به دندانپزشکی دشوار است، استفاده از اساس کرون یک راهکار با دوام طولانی مدت است.
مزایا و معایب اساس کرون در مقایسه با روشهای دیگر
برای درک بهتر، مقایسهای بین روکش استنلس استیل دندان شیری و روشهای دیگر ترمیم دندان شیری انجام میدهیم.
| ویژگی | روکش استنلس استیل (SS Crown) | پرکردن با آمالگام/کامپوزیت |
| استحکام و دوام | بسیار بالا، محافظت کامل | متوسط، احتمال شکستگی در پوسیدگیهای گسترده |
| طول عمر | تا زمان افتادن دندان شیری | کمتر، به خصوص در معرض فشار زیاد |
| پوشش دندان | کامل، جلوگیری از پوسیدگی ثانویه | جزئی، محدود به ناحیه پر شده |
| زیبایی ظاهری | فلزی (نقرهای)، قابل قبول در دندانهای خلفی | خوب تا عالی (کامپوزیت) |
| هزینه | اقتصادی در بلندمدت | هزینه اولیه کمتر، نیاز به تعویض بیشتر |
| زمان درمان | یک جلسه کوتاه | یک یا چند جلسه بسته به وسعت |
همانطور که مشاهده میشود، در مواقعی که دوام و حفظ ساختار دندان بیشترین اولویت را دارد، اساس کرون برتری چشمگیری دارد. اگرچه از لحاظ زیبایی ظاهری ممکن است به پای کامپوزیتهای دندانپزشکی نرسد، اما استحکام آن در برابر فشارهای جویدن، به خصوص در دندانهای خلفی (آسیا)، آن را به انتخاب اول دندانپزشکان تبدیل کرده است. این مسئله به خصوص برای دندانهای خلفی که نقش حیاتی در حفظ فضای فک دارند، بسیار پررنگ است. حفظ فضای دندانهای شیری تا زمان رویش دندانهای دائمی زیرین، از مهمترین دلایل استفاده از روکش استنلس استیل دندان شیری است.
مراحل نصب روکش استنلس استیل دندان شیری در کلینیک بهبد
فرآیند قرار دادن اساس کرون یک پروسه استاندارد و سریع است که با دقت و ظرافت کامل برای راحتی کودک شما انجام میشود. در کلینیک دندانپزشکی بهبد، ما متعهد به ارائه یک تجربه درمانی بدون استرس و مؤثر هستیم. مراحل اصلی به شرح زیر است:
- بیحسی موضعی: ابتدا، ناحیه اطراف دندان با بیحسی موضعی کاملاً بیحس میشود تا کودک در طول درمان هیچ دردی احساس نکند.
- تراشیدن دندان: دندانپزشک مقدار کمی از مینای دندان را به اطراف تراش میدهد. این تراش بسیار محافظهکارانه است و فقط برای ایجاد فضایی کافی برای قرارگیری روکش انجام میشود. ساختار دندان سالم تا حد امکان حفظ میگردد.
- انتخاب سایز روکش: روکشهای استنلس استیل در اندازههای مختلف پیشساخته شدهاند. دندانپزشک با دقت، روکش با اندازه و شکل متناسب با دندان کودک شما را انتخاب میکند.
- تست و تنظیم روکش: روکش انتخاب شده روی دندان قرار میگیرد تا از تناسب کامل آن با خط لثه و ارتفاع دندانهای مقابل اطمینان حاصل شود. در این مرحله، لبههای روکش تنظیم و صاف میشوند.
- چسباندن نهایی: پس از تایید نهایی اندازه و تناسب، روکش با استفاده از یک سمان دندانپزشکی قوی و زیستسازگار، محکم روی دندان چسبانده میشود.
- توصیههای پس از درمان: دندانپزشک توصیههای لازم برای مراقبت از روکش استنلس استیل دندان شیری را به والدین ارائه میدهد.
این فرآیند معمولاً در یک جلسه به پایان میرسد و کودک میتواند بلافاصله به فعالیتهای عادی خود بازگردد.
مراقبت از روکش استنلس استیل (SS Crown) و طول عمر آن
یکی از مزایای بزرگ روکش استنلس استیل دندان شیری، سادگی مراقبت از آن است. در واقع، مراقبت از یک دندان با اساس کرون تفاوت چندانی با مراقبت از دندانهای طبیعی ندارد.
- مسواک زدن و نخ دندان: مسواک زدن منظم دو بار در روز با خمیر دندان حاوی فلوراید و استفاده روزانه از نخ دندان ضروری است. تمیز کردن مرز بین روکش و لثه بسیار مهم است.
- تغذیه: اگرچه روکش بسیار محکم است، اما باید از گاز زدن مواد غذایی بسیار سفت و چسبناک مانند آبنباتهای تافی و آدامس خودداری شود، زیرا ممکن است روکش را شل یا جدا کنند.
- معاینات منظم: معاینات دورهای در کلینیک دندانپزشکی بهبد برای اطمینان از قرارگیری صحیح روکش و سلامت لثه اطراف آن حیاتی است.
طول عمر روکش استنلس استیل دندان شیری تا زمان افتادن طبیعی دندان شیری است. اساس کرون به نحوی طراحی شده است که در برابر فشار، سایش و پوسیدگی مقاومت کند و وظیفه خود یعنی حفظ فضای دندان دائمی را به نحو احسن انجام دهد. روکش با دندان شیری زیرین رشد میکند و هنگامی که زمان افتادن دندان فرا میرسد، دندان دائمی زیرین با فشار خود، ریشه دندان شیری و روکش متصل به آن را به طور طبیعی از دهان خارج میکند.
اهمیت حفظ دندانهای شیری آسیبدیده با روکش استنلس استیل دندان شیری
تصور غلطی وجود دارد که چون دندانهای شیری در نهایت جای خود را به دندانهای دائمی میدهند، نیازی به ترمیمهای گسترده مانند روکش استنلس استیل دندان شیری نیست. این تفکر به شدت اشتباه است. از دست دادن زود هنگام دندانهای شیری عواقب جدی بر سلامت دهان و دندان کودک در آینده دارد:
- از دست دادن فضا (Space Loss): مهمترین کار دندان شیری، “حفظ فضا” برای دندان دائمی زیرین است. اگر دندان شیری زودتر از موعد بیفتد، دندانهای مجاور به فضای خالی حرکت میکنند و فضای کافی برای رویش دندان دائمی از بین میرود. این مشکل میتواند منجر به نیاز به درمانهای پیشرفتهتر در آینده شود.
- مشکلات جویدن و تغذیه: دندانهای شیری سالم برای جویدن صحیح غذا و دریافت مواد مغذی حیاتی هستند. دندانهای ترمیم شده با اساس کرون عملکرد جویدن را به طور کامل باز میگردانند.
- تکلم: دندانهای جلویی شیری در تلفظ صحیح کلمات نقش دارند. اگرچه SS Crown بیشتر برای دندانهای خلفی استفاده میشود، اما حفظ سلامت کلی دندانها برای تکلم صحیح ضروری است.
- پیشگیری از عفونت: روکش استنلس استیل دندان شیری از گسترش عفونت به بافتهای عمقیتر فک جلوگیری میکند و سلامت عمومی کودک را حفظ مینماید.
در کلینیک دندانپزشکی بهبد، ما با استفاده از بهترین مواد و تکنیکهای روز دنیا، از جمله قرار دادن دقیق روکش استنلس استیل دندان شیری، سلامت لبخند فرزندان شما را تضمین میکنیم. هدف ما، ارائه بهترین مراقبتهای دندانپزشکی به کودک شما تا زمان رویش دندانهای دائمی و پایهگذاری یک لبخند زیبا و سالم در آینده است.
جدول خلاصه مقاله: روکش استنلس استیل دندان شیری (SS Crown)
| موضوع | شرح مختصر | اهمیت |
| تعریف SS Crown | کلاهک فلزی (استنلس استیل) پیشساخته، پوشش کامل دندان شیری. | روش استاندارد طلایی برای ترمیمهای گسترده. |
| کلمه کلیدی اصلی | روکش استنلس استیل دندان شیری | چگالی مطلوب در متن جهت سئوی قوی. |
| کاربردهای کلیدی | پوسیدگیهای بسیار گسترده، دندانهای پس از عصبکشی، ریسک بالای پوسیدگی. | محافظت و تقویت ساختار دندان ضعیف شده. |
| مزایای اصلی | دوام بالا، پوشش کامل، نصب سریع، اقتصادی در بلندمدت. | حفظ دندان شیری تا رویش دندان دائمی. |
| اهمیت حفظ دندان | جلوگیری از Space Loss (از دست دادن فضا)، حفظ عملکرد جویدن و تکلم. | تاثیر مستقیم بر سلامت دهان و دندان دائمی کودک. |
| مراحل درمان | بیحسی، تراش محافظهکارانه، انتخاب و تست، چسباندن نهایی. | فرآیند درمانی سریع و بدون استرس در یک جلسه. |
| مراقبتها | مسواک و نخ دندان منظم، پرهیز از غذاهای بسیار چسبناک. | تضمین طول عمر روکش تا زمان افتادن طبیعی دندان. |
پرسشهای متداول درباره روکش استنلس استیل دندان شیری
روکش استنلس استیل دندان شیری تا چه زمانی در دهان کودک باقی میماند؟
روکش استنلس استیل دندان شیری (SSC) بهگونهای طراحی شده است که تا زمان افتادن طبیعی دندان شیری در دهان کودک باقی بماند. این روکشها بهطور کامل از دندان محافظت میکنند
و زمانی که دندان شیری بهصورت طبیعی لق شده و میافتد، روکش نیز همراه با آن خارج میشود و فضای لازم برای رویش دندان دائمی را فراهم میکند.
آیا استفاده از اساس کرون (SS Crown) برای دندانهای جلویی توصیه میشود؟
روکشهای استنلس استیل ظاهر فلزی (نقرهای) دارند و به همین دلیل معمولاً برای دندانهای خلفی (عقبی) استفاده میشوند که در معرض دید کمتری قرار دارند و فشار جویدن بیشتری را تحمل میکنند.
برای دندانهای جلویی کودکان که زیبایی نقش مهمی دارد، معمولاً از روکشهای همرنگ دندان مانند روکشهای کامپوزیتی یا زیرکونیا استفاده میشود تا ظاهر طبیعی لبخند کودک حفظ شود.
مهمترین دلیل استفاده از روکش استنلس استیل پس از عصبکشی دندان شیری چیست؟
پس از انجام درمانهای عصبکشی دندان شیری (مانند پالپوتومی یا پالپکتومی)، ساختار دندان بهطور قابلتوجهی ضعیف و مستعد شکستگی میشود. روکش استنلس استیل بهعنوان یک محافظ بسیار مقاوم، کل دندان را پوشش میدهد، از شکستن آن در برابر فشارهای جویدن جلوگیری میکند و مانع نفوذ مجدد باکتریها و ایجاد پوسیدگی ثانویه میشود. به همین دلیل، این روکش یکی از مطمئنترین گزینهها در دندانپزشکی کودکان به شمار میرود و در کلینیک دندانپزشکی بهبد بهطور گسترده مورد استفاده قرار میگیرد.



